Gliómy a metastázy

výkony - NEUROCHIRURGICKÁ KLINIKA SZU A UNB RUŽINOV

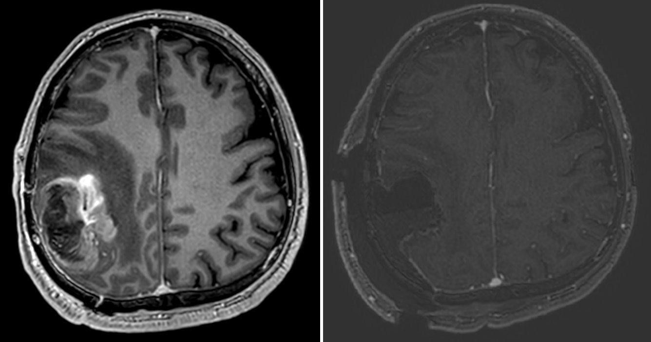
Gliómy a sekundárne novotvary (metastázy) tvoria spolu s meningiómami tri najčastejšie nádory centrálneho nervového systému.

Ďalej
Gliómy a metastázy

O výkone

Gliómy a metastázy

Čo sú gliómy a metastázy?

Gliómy aj metastázy vyrastajú priamo v mozgovom tkanive. Tým pádom sa môžu prejavovať skôr a to aj pri menších veľkostiach. Jedná sa o veľmi rôznorodú skupinu nádorov, ktorých prognóza závisí nielen od chirurgickej liečby, ale najmä od onkologickej liečby (chemoterapia a rádioterapia), či rozsahu základného onkologického ochorenia.

Glióm

Glióm vyrastá priamo z podporných buniek mozgu – glie. Gliómy, ako všeobecne najčastejšie primárne nádory mozgu rozdeľujeme do štyroch stupňov s rôznym biologickým správaním a prognózou – I. až IV. stupeň. U všetkých stupňoch je chirurgická liečba primárnou liečbou a mala by byť vždy zvážená. V niektorých prípadoch gliómov nižšieho stupňa totiž kompletné odstránenie môže viesť k veľmi dobrej kontrole ochorenia, pri niektorých typoch dokonca k vyliečeniu pacienta.

Malígny glioblastóm

U dospelých pacientov je najčastejším gliómom malígny glioblastóm. Liečba glioblastómu spočíva v chirurgickej resekcii nádoru, po ktorom nasleduje konkomitantná chemorádioterapia. Aj keď v súčasnosti nie je možné nádor vyliečiť, radikálne odstránenie nádoru (zobrazený na MR vyšetrení ako T1 enhancujúci nádor) vedie k lepšej kontrole ochorenia a je spojené s predĺžením prežívania.

Nízkostupňový glióm

Nízkostupňové gliómy (gliómy I. a II. stupňa) sa vyskytujú častejšie u mladších pacientov. Aj u týcto pacientov je cieľom operačnej liečby dosiahnuť čo najradikálnejšiu resekciu. Ak však nádor zasahuje funkčne významné (tzv. elokventné) oblasti, odstránenie v týchto častiach mozgu je spojené so vznikom trvalého neurologického poškodenia a preto v niektorých špecifických situáciách je nevyhnutné ponechať časti nádoru. Ďalšia onkologická liečba sa opiera o úzku spoluprácu s onkologickými pracoviskami (NOU, OUSA).

Metastázy

Metastázy sú indikované k operačnej intervencii v prípade, že spôsobujú klinické prejavy, alebo je možné odstránením metastázy významne zlepšiť prognózu onkologického ochorenia pacienta. Preto pri operáciách metastáz mozgu a chrbtice je dôležitá komunikácia s klinickým onkológom a rádioterapeutom.

Operačná taktika a technika

Operačná taktika a technika pri glióme a metastázach je veľmi podobná. Aby bola dosiahnutá čo najradikálnejšia resekcia, využívame počas operácií rôzne technológie, akými sú napríklad:

  • Využite neuronavigácie – umožňuje presné zacielenie otvoru v lebke a orientáciu v mozgu.
  • Využitie 5-ALA – 5-aminolevulová kyselina (5-ALA) je metabolizovaná primárne v malígnych bunkách nádoru, pričom dochádza k fluorescencii, ktorá je detekovaná špeciálnym operačným mikroskopom. Metóda zvyšuje radikalitu resekciu.
  • Intraoperačné zobrazenie pomocou operačného ultrazvuku.
  • Intraoperačný elektrofyziologický neuromonitoring s priamou elektrickou stimuláciou.

Ak Vám bol diagnostikovaný glióm, alebo mestastáza, neváhajte sa obrátiť na nás s Vašim problémom.

Navigovaná biopsia

V prípade, keď je nádor lokalizovaný v hlbokých štruktúrach mozgu a jeho operačné odstránenie predstavuje neprimerane vysoké riziko, alebo nie je možné spoľahlivo určiť typ nádoru, realizujeme na našom pracovisku bioptický operačný výkon – tzv. navigovanú biopsiu. Výkon spočíva v presne zacielenom odbere tkaniva nádoru, ktoré sa vykonáva z malého otvoru v lebke (tzv. trepanácia). Zacielenie odberu ako aj trajektória kanyly sú pred operačným výkonom naplánované a počas operácie riadené neuronavigáciou. Keďže sa jedná o menej invazívny postup, pacienta je možné v indikovaných prípadoch na druhý deň prepustiť z nemocnice.

Výkony

Gliómy a metastázy
Gliómy a metastázy

Ste v dobrých rukách

Galéria

Gliómy a metastázy

1

Fees

General dentistry

We provide a wide range of general treatments

No items found.

2

Fees

Cosmetic treatments

We provide a wide range of cosmetic treatments

No items found.

3

Fees

Orthodontics

We provide a wide range of orthodontics treatments

No items found.

Úspešné príbehy pacientov

Pacientka s nestabilným posunom driekového stavca (spondylolistéza)

Pacientka s nestabilným posunom driekového stavca (spondylolistéza)

Chcem sa veľmi pekne poďakovať lekárom na neurochirurgickom oddelení, zvlášť MUDr. Jánovi Kozákovi a MUDr. Martinovi Sedliakovi za ich profesionálny a zároveň ľudský prístup a skvelú prácu. Do nemocnice som prišla na operáciu chrbtice s dôverou v ich schopnosti. Som šťastná, že som sa odhodlala k náročnej operácii práve u týchto lekárov, nakoľko ma vrátili do života bez permanentnej bolesti, za čo im veľmi pekne ďakujem.

Želám aj im veľa zdravia, aby mail dostatok síl naďalej pomáhať a úspešne uzdravovať ľudí, potrebujúcich ich pomoc.

Pacient s nádorom mozgu v blízkosti mozgového kmeňa

Pacient s nádorom mozgu

Koncom júla 2023 bol zistený nášmu synovi na MRI nález v hlave, ktorý vyžadoval urgentnú konzultáciu s neurochirurgom. V tak ťažkej situácii sme sa na odporučenie nášho obvodného neurológa obrátili na Vašu kliniku, konkrétne na MUDr. Jána Kozáka.  Sme radi, že sme stretli lekára s veľkým "L" a hlavne človeka s veľkým "Č". MUDr. Ján Kozák svojím prístupom po odbornej, ako aj ľudskej stránke sa nášmu synovi venoval. Pán doktor dňa 9. augusta 2023 nášho syna aj operoval. Touto cestou by sme sa chceli veľmi pekne poďakovať nielen pánovi doktorovi Kozákovi, ale aj celému operačnému tímu za vykonanie potrebného zákroku, ktorý umožnil nášmu synovi postupný návrat do života.

Rovnako sa chceme poďakovať aj celému Vášmu neurochirurgickému oddeleniu za príkladnú pooperačnú starostlivosť  o nášho syna. Týmto prístupom sme sa utvrdili, že dobré meno Vašej kliniky  sa zakladá na pravde.

So želaním, aby podobných pracovísk v našom zdravotníctve bolo čo najviac, Vás pozdravujeme a želáme všetko dobré.

Ostatné výkony